手机炒股app下载广道股票-热点股票推荐固态电池有哪些品牌-【东方资本】,股票买套是什么意思,a股10倍杠杆,杠杆炒股app骗局套路
首頁
關于我們
關于華安
管理團隊
員工風采
企業榮譽
發展歷程
新聞資訊
公司新聞
行業動態
產品中心
解決方案
招賢納士
招聘理念
招聘信息
聯系我們
中文
/
EN
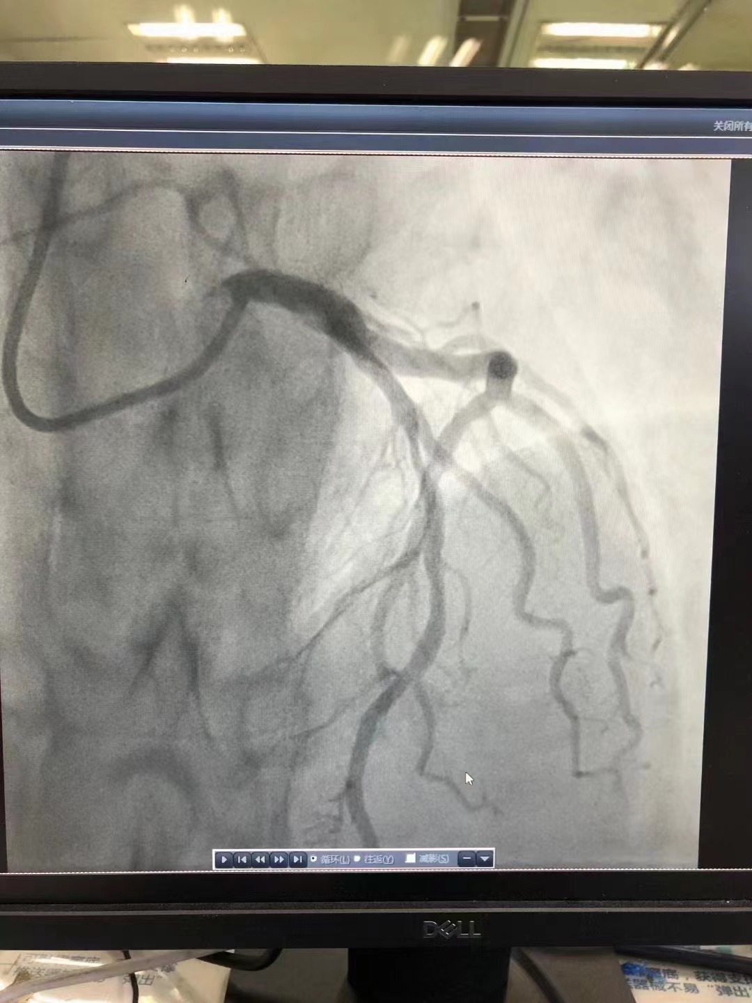
祝賀昆明醫科大學第一附屬醫院心內科王啟賢主任團隊成功為一位年輕患者植入一枚Xinsorb生物可吸收支架!
發布時間:2021-11-10 16:17
完美修復 心歸自然
祝賀 昆明醫科大學第一附屬醫院心內科王啟賢主任團隊成功為一位年輕患者植入一枚Xinsorb生物可吸收支架!
上一個:
第23屆CIIF大獎入圍18強名單重磅出爐,XINSORB入圍!
下一個:
祝賀新疆首例Xinsorb生物可吸收支架成功植入!